De Veracruz al mundo
Padecía dolores de cabeza, su cerebro estaba lleno de larvas.
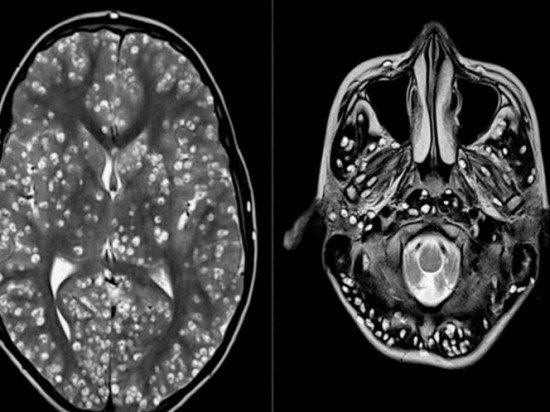
Tras practicarle una resonancia magnética, los especialistas encontraron que la corteza cerebral y el tronco encefálico del paciente estaban llenos de larvas
Jueves 28 de Marzo de 2019
Por: Excelsior
Foto: Excélsior /
Ciudad de México.- Como bien sabes, es necesario lavar los alimentos antes de comerlos y acudir a lugares con buena higiene para evitar enfermedades, desde infecciones leves hasta padecimientos mortales.

Recientemente se dio a conocer el caso de un joven de 18 años plagado con quistes provocados por un parásito porcino.

El afectado, al que tristemente los doctores no pudieron salvarle la vida, acudió a urgecias por fuertes dolores de cabeza y convulsiones.

Tras practicarle una resonancia magnética y exámenes de ultrasonido, los especialistas encontraron que la corteza cerebral y el tronco encefálico del paciente estaban llenos de larvas.

El muchacho padecía neurocisticercosis, una enfermedad parasitaria originada cuando una persona ingiere huevos microscópicos de una tenia porcina y que afecta al tejido muscular. De ahí los parásitos se propagan al cerebro. Los personas infectadas pueden pasar mucho tiempo sin presentar síntomas.

A pesar de que esta afección se puede tratar con medicamentos, el elevado número de quistes no permitió al chico que se le suministraran los fármacos antiparasitarios necesarios.

El paciente fue tratado con corticoides estándares y medicamentos para evitar que se le manifestaran ataques epilépticos. Sin embargo, no se pudo revertir la situación y murió dos semanas después.

Nos interesa tu opinión

  Más noticias
19:26:51 - Productores de Zacatecas exigen auditar a trasnacionales por sobrexplotar acuíferos
19:23:36 - Aumentan los muertos por devastador incendio en complejo residencial de Hong Kong
19:21:42 - PAN presenta queja ante la CIDH contra bloque negro y violencia contra ‘Generación Z’
19:19:45 - Salud mental: El miedo al dolor puede convertirse en una carga
19:18:35 - Israel extiende 'operación' en Cisjordania y lanza ataques aéreos
19:13:43 - Acusan a funcionario de León de acosar sexualmente a empleada
19:10:30 - ¿Cómo planificar mi retiro ante el IMSS si soy trabajador independiente?
19:08:23 - Juez absuelve a Jorge Raúl tras cinco años en prisión por delito presuntamente fabricado por la extinta Seido
ver todas las noticias

  Lo más visto
> Directorio     > Quiénes somos
® Gobernantes.com Derechos Reservados 2016