|
Nacional.-
Jesús Seade se reúne con cónsules generales designados por López Obrador |
| En el encuentro, el Subsecretario para América del Norte señaló que las prioridades de la cancillería en Estados Unidos son la protección y servicios consul... 2019-03-28 22:57:07 |
 |
|
Nacional.-
UNAM niega haber entregado Doctor Honoris Causa a Tatiana |
| La Máxima Casa de Estudios señaló que ninguna de sus entidades académicas otorgó el doctorado honoris causa a la cantante
2019-03-28 22:55:31 |
 |
|
Sociedad.-
Golpean a joven por realizar tocamientos a niña de 13 años |
| Daniel N fue acusado por comerciantes de tocar a la menor en la colonia Centro por lo que fue detenido por policías
2019-03-28 22:49:25 |
 |
|
Mundo.-
Trump amenaza con cerrar la maldita frontera con México |
| ‘¡Vamos a cerrar la maldita frontera!’, amenazó el mandatario estadunidense; a través de su cuenta de Twitter señaló que México no está haciendo nada por de... 2019-03-28 22:45:59 |
 |
|
Nacional.-
Quiere López Obrador se quite el fuero también a gobernadores |
| El presidente aplaude la aprobación en el Senado para juzgar al presidente en funciones y a legisladores por corrupción y delitos electorales; ‘se acaba con... 2019-03-28 22:43:04 |
 |
|
Mundo.-
Trump pretende ahora deportar a menores no acompañados |
| Además de permiso para deportar a menores centroamericanos, el Gobierno de Trump también solicitará autoridad para mantener detenidas a las familias que pid... 2019-03-28 22:41:02 |
 |
|
Nacional.-
Cárcel a quien traiga poco más del tope de droga permitida |
| Fallo en contra de dos personas que portaban 95 y 34 gramos de mariguana, respectivamente
2019-03-28 22:29:22 |
 |
|
Nacional.-
La piel de la Guardia Nacional; uniformes confeccionados en Sedena |
| El Secretario de la Defensa señala que podrán estar listos en aproximadamente mes y medio
2019-03-28 22:26:51 |
 |
|
Estatal.-
A balazos asesinan a una joven en las Choapas |
| El cuerpo fue llevado al anfiteatro para la necropsia de ley mientras que la Fiscalía General del Estado inició las investigaciones.
2019-03-28 22:21:04 |
 |
|
Mundo.-
Inician en EU construcción de muro... de queso cotija |
| Un artista italiano-canadiense comenzó a construir en la frontera de Tecate, California, un muro de queso cotija
2019-03-28 22:12:01 |
 |
|
Nacional.-
CNTE inicia liberación de las puertas 7 y 8 del Palacio Legislativo |
| Luego de una reunión con funcionarios y diputados de Morena, y tres días de bloqueos y plantón, los maestros alistan sus pertenecías para regresar a sus lug... 2019-03-28 21:45:45 |
 |
|
Nacional.-
Comando irrumpe en rancho del suegro de la gobernadora Pavlovich |
| La Fiscalía General de Justicia confirmó la denuncia pero negó más detalles de los hechos para no entorpecer las investigaciones 2019-03-28 21:44:12 |
 |
|
Nacional.-
Volcán Popocatépetl registra nueva explosión con material incandescente |
| Protección Civil Estatal informó que el lanzamiento de 2 kilómetros de altura se reportó a las 19:48 horas y arrojó una columna de ceniza de 3 kilómetros
... 2019-03-28 21:23:58 |
 |
|
Nacional.-
Hallan bodega con 64 tambos de huachicol en Hidalgo |
| El decomiso de combustible robado se realizó en un predio ubicado en la localidad de Santa Rita Guadalupe en el municipio de Zempoala
2019-03-28 21:15:39 |
 |
|
Nacional.-
Diálogo con CNTE avanza bien hacia acuerdo: SEP |
| Es un diálogo que va fluyendo y sobre todo, en lo sustantivo, que queremos realmente que la educación tenga al centro a los estudiantes, dijo Esteban Moctez... 2019-03-28 20:58:38 |
 |
|
Nacional.-
La Luz del Mundo rechaza que busque concesiones de radio y tv |
| El ministro de Comunicación Social de la Luz del Mundo dijo que es importante que el Estado mexicano garantice la laicidad para que cada individuo pueda pro... 2019-03-28 20:24:19 |
 |
|
Mundo.-
Trump lanza nueva amenaza a México: "vamos a cerrar la maldita frontera" |
| Durante un mitin en Michigan, el presidente de EU reprochó que el gobierno de México no detenga a migrantes y advirtió que "si no lo hacen, les costará much... 2019-03-28 20:19:43 |
 |
|
Nacional.-
Niños quemados debieron ser cuidados por profesionales: Virginia Sendel |
| La presidenta de la Fundación Michou y Mau para niños quemados dijo que los menores de 0 a 5 años deben ser cuidados por gente profesional, pues la mayoría ... 2019-03-28 20:12:10 |
 |
|
Finanzas.-
Mezcla mexicana cierra a la baja; barril se oferta en 60.05 dólares |
| El petróleo culminó la sesión con pocos cambios, luego de cotizar durante la mayor parte del día con pérdidas debido a los comentario del presidente Donald ... 2019-03-28 19:58:55 |
 |
|
Nacional.-
Caro Quintero logra aplazar resolución de la SCJN; en vilo su extradición a EU |
| El proyecto de resolución del Ministro Aguilar Morales proponía al Pleno de la Sala negar el amparo al narcotraficante y devolver el expediente a un Tribuna... 2019-03-28 19:50:57 |
 |
|
Nacional.-
Reunión de la CNTE termina sin acuerdos y plantón se mantendrá: Mario Delgado |
| Por su parte, Esteban Moctezuma Barragán, aseguró que el diálogo con la Coordinadora Nacional de Trabajadores de la Educación (CNTE) avanza de manera positi... 2019-03-28 19:47:38 |
 |
|
Nacional.-
Entra en receso negociación de CNTE con SEP y diputados |
| La CNTE pidió un receso de dos horas para poder consultar a las bases sobre el estado que guarda la reforma educativa aprobada por los diputados y así poder... 2019-03-28 19:18:03 |
 |
|
Mundo.-
Paciente con VIH dona un órgano de forma segura |
| Esta es la primera vez que se realiza una donación de órganos desde una persona enferma con VIH
2019-03-28 19:13:43 |
 |
|
En boca de todos.-
Esto le pasa a tu cerebro al comer los tacos al pastor |
| La activación de una serie de señales en el cerebro que llevan a la liberación de sustancias químicas o neurotransmisores como la dopamina la endorfina, la ... 2019-03-28 18:59:32 |
 |
|
Nacional.-
Tribunal encuentra culpable a expolicía por secuestro de profesor |
| El expolicía municipal de Morelos, Juan Carlos Reyes Lara, fue encontrado culpable de secuestrar al profesor Albino Quiroz Sandoval, de quien hasta el momen... 2019-03-28 18:53:58 |
 |
|
Nacional.-
Defiende López Obrador propuestas a Comisión Reguladora de Energía |
| ‘Para nosotros los propuestos cumplen con los requisitos, son técnicos de primera, si los senadores tienen una opinión distinta, pues yo respeto, pero no la... 2019-03-28 18:48:20 |
 |
|
Nacional.-
La SRE brinda asistencia a jóvenes retenidos en Israel |
| La Cancillería informó que mantiene estrecha comunicación con los familiares de los estudiantes y con las universidades, a la vez que ha dado orientación a ... 2019-03-28 18:45:54 |
 |
|
Finanzas.-
Peso cierra estable; dólar se vende hasta en $19.74 |
| El peso recortó las pérdidas de la sesión después de que el Banco de México decidió mantener estable la tasa de interés referencial.
2019-03-28 18:24:56 |
 |
|
Tecnología.-
Inteligencia artificial sería capaz de predecir la muerte |
| Las computadoras con aprendizaje automatizado podrían ayudar a mejorar los modelos de predicción de riesgos y así los enfoques a la atención preventiva.
2019-03-28 18:20:25 |
 |
|
Nacional.-
Satélite capta explosión del Popocatépetl; así se ve desde el espacio |
| El volcán tuvo exhalaciones constantes durante 130 minutos esta madrugada y por la mañana registró una explosión, cuya columna de cenizas alcanzó los 2.5 ki... 2019-03-28 18:17:43 |
 |
|
Nacional.-
Derrame de combustible en Acapulco costará 7 mdp |
| La Secretaría de Protección Civil informó que la reflotación de dos embarcaciones y la extracción del combustible derramado en Puerto Marqués será realizado... 2019-03-28 17:57:32 |
 |
|
Mundo.-
Descubren en Israel la caverna de sal más larga del mundo |
| La cueva Malham, de 10 km de longitud, atraviesa el Monte Sodoma, la mayor montaña de Israel, hasta el sudoeste del Mar Muerto; durante el recorrido se pued... 2019-03-28 17:54:12 |
 |
|
Nacional.-
CFE niega creación de monopolio por plan de reagrupación de filiales |
| Manuel Bartlett anunció que la reagrupación de filiales busca mejorar las ineficiencias ocasionadas por el esquema establecido en la Reforma Energética
2019-03-28 17:20:22 |
 |
|
Nacional.-
Con negociación atorada, se cumplen 55 días de huelga en la UAM |
| La casa de estudios cumple este jueves 55 días de huelga, lo cual afecta a más de 58 mil alumnos, tres mil 090 profesores e investigadores y 108 mil aspiran... 2019-03-28 17:08:40 |
 |
|
Mundo.-
Dan 514 años de cárcel a hombre que violó a 14 mujeres |
| Autoridades de Guatemala dictaron sentencia al hombre que atacó a 14 mujeres
2019-03-28 16:57:25 |
 |
|
Nacional.-
Ratifican en FGR denuncia contra Romero Deschamps |
| Ante la Fiscalía General de la República, el líder del Frente Nacional Petrolero, Sergio Carlos Morales, ratificó la denuncia contra Carlos Romero Deschamps... 2019-03-28 16:49:13 |
 |
|
Nacional.-
Anuncian devolución automática del Fondo de Ahorro de Vivienda |
| El IMSS y el Infonavit anunciaron que todos los pensionados en el periodo de 1972 a 1992, podrán solicitar a partir de abril la devolución de lo que hayan c... 2019-03-28 16:35:33 |
 |
|
Nacional.-
Diálogo, única salida para la CNTE: López Obrador |
| López Obrador dijo que su administración no tolerará la venta de plazas que realizaba la Coordinadora, y que es una de las prebendas que ese sindicato exige... 2019-03-28 16:24:44 |
 |
|
Nacional.-
Más de 800 migrantes dejan Tapachula para seguir su camino hacia EU |
| Los cubanos argumentaron que las autoridades mexicanas se han retrasado en la entrega del llamado oficio de salida que les permite transitar por el territor... 2019-03-28 14:26:51 |
 |
|
Nacional.-
Entregan hasta 120 mil pesos a familias damnificadas por ‘Willa’ |
| La entrega de este recurso, forma parte del Proyecto Extraordinario “Reconstruyendo Vivienda en Nayarit”.
2019-03-28 14:26:08 |
 |
|
Mundo.-
España investiga presuntos sobornos de OHL por más de 40 mde |
| Desde hace algo más de dos años se desveló una importante trama de corrupción politico-empresarial en la que estaba en el centro de empresa OHL y diversos c... 2019-03-28 14:25:21 |
 |
|
Mundo.-
Le abren nuevo proceso a la ex presidenta argentina Cristina Fernández |
| El caso tiene que ver con el uso del avión presidencial para enviar diarios y revistas desde Buenos Aires hasta El Calafate y Río Gallegos, localidades de l... 2019-03-28 14:24:29 |
 |
|
Nacional.-
Falso que CFE esté contra las energías limpias: Bartlett |
| Bartlett reiteró que se revisan los contratos que la CFE firmó el sexenio pasado con empresas privadas para que les abastezcan de gas a través de ductos y a... 2019-03-28 14:23:28 |
 |
|
Finanzas.-
Mantiene BdeM tasa de interés a 8.25% |
| Esta determinación es positiva para las personas que tienen créditos a tasa variable ya que el costo del dinero se mantiene estable.
2019-03-28 14:22:29 |
 |
|
Nacional.-
IMSS e Infonavit anuncian devolución automática del Fondo de Ahorro |
| A través de un video difundido en redes sociales explicaron que esta devolución automática es para los trabajadores que cotizaron entre 1972 y 1992, a quien... 2019-03-28 14:19:21 |
 |
|
Nacional.-
Estrategia de paz de la 4T es peor que la de Calderón y Peña: Sicilia; AMLO traicionó a víctimas, afirma |
| “Nos pusimos a trabajar; no lo hemos dejado de hacer desde hace años. Por desgracia la respuesta del Presidente Andrés Manuel López Obrador ha sido la traic... 2019-03-28 14:16:40 |
 |
|
Nacional.-
Rescatan a sobrina de director de Altos Hornos de México; estaba secuestrada |
| Diana Zamudio es sobrina del director general de Altos Hornos de México y su padre es el titular del Sistema de Aguas de Monclova; autoridades no detallaron... 2019-03-28 14:08:47 |
 |
|
Policiaca.-
Ejecutan a funcionario del Poder Judicial en Jalisco |
| Al salir del gimnasio, Edgardo Guillermo 'N', secretario del Juzgado de Distrito en Materia de Amparo, fue interceptado por un hombre que le disparó en tres... 2019-03-28 14:03:45 |
 |
|
Mundo.-
Han encontrado mil 100 delfines muertos este año en Francia |
| Las autoridades se muestra preocupadas ante el incremento en el número de cadáveres de delfines encontrados en las costas de Francia en lo que va de este 20... 2019-03-28 14:02:00 |
 |
|
Nacional.-
Relanzan marca Aduanas de México |
| Con la misión de lograr una paridad internacional entre las aduanas de México y Estados Unidos, y fortalecer el combate a la piratería y tráfico de armas y ... 2019-03-28 13:47:53 |
 |
|
Sociedad.-
Facebook lanza en México herramienta para buscar pareja |
| Así, al entrar a la opción de menú de Facebook, y después “Ver Más”, aparecerá un ícono con un corazón de color rojo y violeta llamado “Parejas”, en el cual... 2019-03-28 12:42:48 |
 |
|
Nacional.-
Aumenta actividad del 'Popo'; van 61 exhalaciones y dos sismos |
| El Cenapred indicó que el ajuste en el nivel de alertamiento implica mantener las rutas de evacuación en buenas condiciones y la señalización adecuada
2019-03-28 12:35:25 |
 |
|
Mundo.-
Así justifica Francisco su rechazo a que besen anillo pastoral |
| Luego de la polémica generada por un video donde el papa Francisco evita que besen el anillo del pescador que porta, el Vaticano explicó la razón
2019-03-28 12:33:55 |
 |
|
Nacional.-
Pide PAN remover a Muñoz Ledo del cargo en Cámara de Diputados |
| Acción Nacional argumentó que Muñoz Ledo no ‘garantiza la inviolabilidad de San Lázaro y los trabajos legislativos’; considera intolerante que no se sesione... 2019-03-28 12:32:45 |
 |
|
Policiaca.-
Ejecutan a tres en negocio de radiadores, en Cuernavaca |
| Dos hombres y una mujer fueron ejecutados cerca de un negocio de radiadores en El Polvorín, Cuernavaca; los agresores huyeron en un Tsuru y se desconoce el ... 2019-03-28 12:31:20 |
 |
|
Efemerides.-
28 de marzo |
| 1944. Se funda la Hemeroteca Nacional en el antiguo templo de San Pedro y San Pablo. En 1979 fue trasladada a la Ciudad Universitaria de la UNAM. 2019-03-28 12:06:05 |
 |
|
Nacional.-
Tras asesinato de funcionarios, 120 militares llegan a reforzar seguridad en Salvatierra, Guanajuato |
| La alcaldesa de Salvatierra lamentó que vinculen a sus colaboradores muertos con delincuentes "sólo por ser de Jalisco"
2019-03-28 11:49:58 |
 |
|
Mundo.-
La Contraloría de Venezuela inhabilita a Guaidó hasta por 15 años |
| 2019-03-28 11:47:41 |
 |
|
Nacional.-
Tres consejeros de Pemex renunciarán por diferencias políticas: WSJ |
| El grupo difiere con la estrategia del presidente Andrés Manuel López Obrador para administrar la petrolera, según personas con conocimiento de la situación... 2019-03-28 11:46:50 |
 |
|
Nacional.-
Política migratoria de EU es bipolar: INM |
| Dijo que en este contexto México se encuentra en medio, “en sandwich” , como país de tránsito de miles de personas todos los días.
2019-03-28 11:46:07 |
 |
|
Nacional.-
Relación con la CNTE será "armónica": Sánchez Cordero |
| La funcionaria respondió a los reporteros que cubren la fuente política y la Cámara de Diputados.
2019-03-28 11:45:10 |
 |
|
Mundo.-
Nace bebé de madre que tenía 3 meses en muerte cerebral |
| El bebé nació tras 31 semanas y seis días de gestación con 1,7 kilogramos, un peso "adecuado" para su edad gestacional
2019-03-28 11:28:10 |
 |
|
Deportes.-
Ruso ofrece dinero para mantener box en Olímpicos |
| Umar Kremlev, miembro del Comité Ejecutivo de la Asociación Internacional de Boxeo, está dispuesto a pagar la deuda del organismo de 16 mdd
2019-03-28 11:26:12 |
 |
|
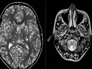
Sociedad.-
Padecía dolores de cabeza, su cerebro estaba lleno de larvas |
| Tras practicarle una resonancia magnética, los especialistas encontraron que la corteza cerebral y el tronco encefálico del paciente estaban llenos de larva... 2019-03-28 11:25:20 |
 |
|
Mundo.-
Caen 106 pedófilos durante operativo en 130 ciudades de Brasil |
| Durante la operación 'Luz en a infancia' realizada este jueves en 130 ciudades de Brasil, fueron capturados 106 pedófilos en flagrancia, mientras manipulaba... 2019-03-28 11:24:06 |
 |
|
Nacional.-
Van a subasta próxima semana vehículos del Senado |
| En los próximos días el Servicio de Administración y Enajenación de Bienes (SAE) realizará la licitación correspondiente, indicó Martí Batres
2019-03-28 11:22:45 |
 |
|
Policiaca.-
Mientras comía, ejecutan a tesorero de Petatlán; su esposa está herida |
| Un grupo de hombres armados irrumpieron en el restaurante ‘El Comedor Chilango’, en el centro de Petatlán, para ejecutar al tesorero Juventino Obregón; en e... 2019-03-28 11:21:49 |
 |
|
Nacional.-
CNTE niega haber 'secuestrado' la Cámara de Diputados |
| Wilbert Santiago, de la sección 22 de la CNTE, afirmó que fue el personal de seguridad de la puerta 8 de la Cámara de Diputados los que iniciaron la confron... 2019-03-28 11:20:50 |
 |
|
Nacional.-
México y EU no han abordado posibilidad de asilo a Maduro: Ebrard |
| El canciller Marcelo Ebrard señaló que en conversaciones con el secretario de Estado de EU no se tocado el que México otorgue a persona alguna del gobierno ... 2019-03-28 11:18:53 |
 |
|
Estatal.-
Así fue como Yunes y Winckler ofrecieron recompensa por “La Liebre”, sin orden de aprehensión |
| Hace dos años ofrecieron una recompensa por el presunto criminal, acusando del homicidio de una familia
2019-03-28 10:40:33 |
 |
|
Nacional.-
Pemex cambia de modelo para poder trabajar con la IP |
| Pemex ha realizado ocho contratos en los campos Trión, Cárdenas-Mora, Ogarrio, Santuario, Misión, Ebano y Miquetla. Y en Ek-Balam el contrato es sin socio.
... 2019-03-28 10:37:38 |
 |
|
Mundo.-
Pide Trump a la OPEP aumentar producción para bajar petroprecios |
| "Es muy importante que la OPEP incremente el flujo de Petróleo. Los Mercados Mundiales están frágiles, el precio del Petróleo está subiendo demasiado. ¡Grac... 2019-03-28 10:35:17 |
 |
|
Nacional.-
"México actuará responsablemente" en tema de migración: Ebrard |
| El canciller publicó en redes sociales que México actuará en el tema a partir de su propia visión, la cual está expresada en el Pacto Mundial para una Migra... 2019-03-28 10:34:22 |
 |
|
Nacional.-
Disidencia magisterial busca hoy reunirse con Sánchez Cordero |
| Luego de que esta mañana, en su conferencia en Palacio Nacional, el presidente Andrés Manuel López Obrador, informó que solicitará nuevamente al secretario ... 2019-03-28 10:33:40 |
 |
|
Nacional.-
Por bloqueo de la CNTE, diputados reanudarán sesión el 2 de abril |
| El presidente de la Mesa Directiva, Porfirio Muñoz Ledo, informó en una serie de tuits que envió al Senado el aviso de la imposibilidad de llevar a cabo la ... 2019-03-28 10:32:53 |
 |
|
Nacional.-
Steer Davies estará a cargo del plan maestro del Tren Maya y PwC de los estudios: Fonatur |
| El director de la dependencia, Rogelio Jiménez Pons, planteó que se buscará que la calificadora Deloitte participe en la organización de las Fibras y que Go... 2019-03-28 10:29:10 |
 |
|
Nacional.-
La ONU publica el anuncio de venta del avión presidencial; interesados tienen hasta el 22 de abril |
| El Banco Nacional de Obras y Servicios Públicos (Banobras) detalló en un comunicado que el periodo de registro para los interesados en adquirir la aeronave ... 2019-03-28 10:27:27 |
 |
|
Nacional.-
“México no hace nada para frenar migrantes”: Trump; el mexicano ya no está migrando, dice AMLO |
| “México no está haciendo NADA para ayudar a detener el flujo de inmigrantes ilegales a nuestro País. Solo hablan y no toman medidas”, escribió Trump en su c... 2019-03-28 10:26:02 |
 |
|
Nacional.-
VIDEO exhibe a elementos de la SSC que golpean a dos mujeres en la colonia Morelos en Tepito |
| En las imágenes se observa a un presunto jefe policial que golpea en el rostro a una mujer repetidas ocasiones, hasta que esta cae y huye del lugar. Luego d... 2019-03-28 10:24:15 |
 |
|
En boca de todos.-
OHL habría pagado 40 millones de euros en sobornos… y una parte salió de México: El Confidencial |
| Las operaciones ilícitas se habrían concentrado en dos gobiernos autonómicos de Madrid, los de Andalucía y Canarias; así como en el Ministerio de Fomento, q... 2019-03-28 10:22:37 |
 |
|
Nacional.-
Exigir que España pida perdón es simular: mejor frenen el despojo a indígenas, dice Marichuy a AMLO |
| “Lo que tienen que hacer es dejar de despojar de la tierra a las comunidades”, dijo María de Jesús Patricio Martínez, vocera del Consejo Nacional Indígena, ... 2019-03-28 10:20:21 |
 |
|
Finanzas.-
Hasta en $19.25 se vende el dólar en el AICM |
| La divisa estadunidense se oferta en un promedio de $18.75 en el aeropuerto capitalino; el Euro se vende en un máximo de $22.10
2019-03-28 10:17:11 |
 |
|
Mundo.-
Incendio en rascacielos de Dacca deja 5 muertos y 65 heridos |
| Las autoridades registran 65 lesionados; bomberos reportan el incendio controlado; una de las personas rescatadas, dijo que hubo personas que quedaron atrap... 2019-03-28 10:16:17 |
 |
|
Nacional.-
No queremos venta de plazas en magisterio: López Obrador |
| El presidente pide al titular de la SEP, Esteban Moctezuma, explicar Reforma Educativa al magisterio; indicación a secretaría es quitar todo lo que pueda af... 2019-03-28 10:13:51 |
 |
|
Mundo.-
Regresa a Caracas energía eléctrica, pero… siguen fallas en Venezuela |
| El servicio eléctrico ya está disponible en el oeste de la capital del país, donde se asientan los poderes públicos; la ciudad permanece paralizada por terc... 2019-03-28 10:12:55 |
 |
|
Nacional.-
Reforma educativa disfrazada de 'buenos deseos': María Chávez |
| La legisladora de Morena, María Chávez, quien votó en contra del dictamen de la reforma educativa, afirmó que lo aprobado ayer en la Cámara de Diputados no ... 2019-03-28 10:11:53 |
 |
|
Nacional.-
Sube a Fase 3 la alerta volcánica del Popocatépetl |
| Se deben mantener las rutas de evacuación asignadas, verificar que los refugios temporales funcionen en forma adecuada, entre otras medidas
2019-03-28 10:10:02 |
 |
|
Nacional.-
Prevén caída de ceniza del Popocatépetl en Puebla y Morelos |
| De acuerdo con autoridades de Protección Civil, este material emitido por una fumarola esta mañana se dirige a distintos municipios; columna de fumarola alc... 2019-03-28 09:51:41 |
 |
|
Mundo.-
Con explosivos, roban hotel cercano a residencia presidencial de Brasil |
| Tres cajeros electrónicos del hotel Golden Tulip, ubicado a 500 metros de la residencia presidencial brasileña, fueron destruidos con explosivos para hacers... 2019-03-28 09:46:05 |
 |
|
Álamo Temapache .-
Interviene Jorge Vera para resolver conflicto de habitantes del Ídolo, por escasez de agua |
| *Entregó tres aulas equipadas a escuela Roberto Mancisidor Viñas, módulo sanitario de la Escuela Primaria “José Vasconcelos y barda perimetral en el Jardín ... 2019-03-28 09:30:16 |
 |